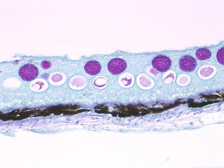
Attached are a couple photos of blue walleye from McKim Lake. Also attached are two microscope photos (200X) showing a new family of cells, found only in Canadian walleye producing Sandercyanin (the blue pigment). The microscope photos are from a cross section of walleye skin. The free surface of the skin is at the top of each photo. Photo 1 is from McKim Lake and shows the pigment-containing cells as light purple under the dark purple mucus cells. Photo 2 is from Lake Erie where no pigment-containing cells are present. Feel free to use these photos as you like.
Dr. Wayne Schaefer
Back to the website https://pakwashlakecamp.com/


